Radiologia 2D e 3D (CBCT)

Le attività di diagnosi risultano necessarie per poter valutare lo stato di salute del cavo orale, individuare eventuali problematiche, e definire i trattamenti più adatti per ciascuno dei nostri pazienti.
Gli esami radiologici in Odontoiatria permettono al dentista di effettuare una precisa diagnosi per scegliere la terapia, il piano di trattamento, più indicato per risolvere il problema del proprio paziente.
Nel nostro Studio Dentistico di Adrano usiamo strumentazioni radiologiche di alto livello, la struttura è dotata di macchinari all' avanguardia che permettono (assieme ad un primo esame clinico ) una precisa diagnosi e di conseguenza consentono di pianificare un corretto piano di trattamento.
1. Cone Beam Computer Tomografy (CBCT) è il mezzo radiologico più sofisticato (esame di II° livello), fornisce informazioni dettagliate di tutte le strutture anatomiche prese in esame, è in grado di eseguire ricostruzioni tridimensionali di ciò che si vuole esaminare con meno radiazioni rispetto ad una tac tradizionale, grazie al suo fascio conico ed alla possibilità dell' Odontoiatra di poter selezionare in centimetri solo la zona da esaminare, utile per la pianificazione in implantologia e chirurgia orale.
2. Ortopantomografia (OPT), detta anche radiografia panoramica, è un esame di I° livello, serve per verificare la presenza, lo stato e la posizione dei denti, fornisce valide informazioni di carattere generaleanche sulle ossa mascellari e mandibolari comprese le strutture anatomiche adiacenti.

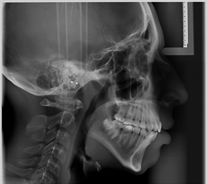
3. Teleradiografia latero-laterale (TLL), è una radiografia del craneo, eseguita in una posizione di profilo permette di valutare la posizione delle arcate dentarie rispetto alle ossa, mascella e mandibola, l'eventuale presenza di malocclusioni o morsi inversi., serve per impostare il piano di trattamento ortodontico più adeguato per ciascuno dei nostri pazienti, serve anche per valutare i diversi profili protesici nelle riabilitazioni implantari totali, quasi sempre abbinata ad una Ortopantomografia.



